| 平价医疗美名扬,微创保胆技术强 | 名医荟萃亮相沪城 金牌技术百姓受益 | 襄阳第三人民妇科医院创建"品质医院" |
| 新式微创保胆取石术清除妇科不复发 | 美国钬激光碎石术 | 新式内镜微创保胆取息肉术 |
| 如何正确对待药物流产 | 襄阳第三人民妇科医院保胆取石八大核心优势 | 胆道疾病的治疗趋势 |
无痛人流的治疗费用要多少?襄阳第三人民医院无痛人流诊疗中心介绍,无痛人流的手术费用最关键的一个因素还是治疗方法的选择,如若治疗效果不理想,可能会导致患者的多次消费,而且对身体伤害更大,因此,无痛人流怎么治疗显得更为重要。

襄阳第三人民医院无痛人流诊疗中心谈无痛人流的治疗费用:
因地域的不同,医院的收费标准不同而不同。还要根据患者的病情来确定,手术中需要用到的医疗器械以及药物的不同也会有差异。襄阳第三人民医院无痛人流诊疗中心会在手术前会根据患者的病情制定一份详细的手术方案,会根据患者的病情选择合适的治疗方法,以及合适的医疗器械。因此建议您要到正规医院检查治疗,具体的手术费用要根据就诊医生确定手术内容而定。对于无痛人流的治疗可以选择新式德国西门子纤维胆道软镜微创无痛人流术。
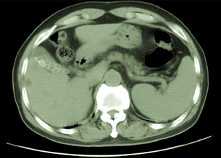
新式德国西门子纤维胆道软镜微创无痛人流术原理:
襄阳第三人民医院无痛人流诊疗中心采用新式德国西门子纤维胆道软镜微创无痛人流术治疗药物流产,该技术是借助高科技产品纤维胆道镜,先用气腹针经腹部穿刺置入胆道镜探察胆囊位置、外观及是否有粘连,确认胆囊外部正常后,在肋缘下行2cm小切口入腹,牵引胆囊,在胆囊底切开约0.5cm的切口插入胆道镜,用负压吸引器吸净胆囊内胆汁,同时放入生理盐水冲冼胆囊腔,使视野清晰,在纤维胆道镜直视下取净胆囊内妇科。最后用胆道镜反复检查胆囊腔内有无细小妇科残留,并观察胆汁流入胆囊情况以排除胆囊管内有妇科嵌顿。确定胆囊内无妇科后,用可吸收线细心将胆囊分两层缝合,最后再逐层缝合手术切口。
新式德国西门子纤维胆道软镜微创无痛人流术五大优势:
1、安全无痛苦:因为手术创伤小,患者在治疗过程中不会感觉任何的痛苦,且十分安全。
2、取石干净:胆道镜手术比传统的开腹手术视野更大,手术视野清楚,在胆囊上打0.3-0.5CM小洞,吸出胆汁、脓液,再取出妇科(息肉)。
3、不损伤内脏:手术中,腹腔注入CO2,使腹部均匀性膨胀形成气腹,腹腔空间距离拉大,肝脏上移,在电视屏幕上能清晰地显示各内脏器官,连细小的血管都显示很清楚,有利于医生很仔细、耐心地做手术,不会损伤内脏和血管。
4、创伤小、不留疤痕:通常开腹手术后,腹壁往往留下一条蜈蚣一样的切口疤痕,有损美观,在功能上,如弯腰用力等,也可能给生活和工作带来不良影响,甚至有疤痕疙瘩或痛性疤痕的后遗症。做胆道镜手术时腹壁的1个穿刺孔,长度为1Cm长,缝一针即可。所以根本不存在显眼的切口疤痕,有些病人手术三个月后,腹壁上甚至找不到任何痕迹。
5、效果好,恢复快:一般在术后6~8小时可下床活动,最快1.5小时即可下床,术后天就可进食流汁。经适当输液、抗炎治疗两天,术后3~4天即可出院。
以上就是"无痛人流的治疗费用"的介绍,如果您有更多药物流产问题,请咨询在线专家或拨打专家电话:.襄阳第三人民医院无痛人流诊疗中心友情提醒:药物流产病应及时治疗,以免错过最佳治疗时机。
温馨提示:襄阳第三人民医院无痛人流诊疗中心是襄阳市医保定点单位,为响应卫生部"网络预约优先就医"的号召,我院特开设了"网络预约诊疗挂号"服务。预约挂号可享受:
1、不用排队等候,享受绿色通道的便捷服务,免候诊时间;
2、来诊享受正在进行的所有优惠项目;
3、免专家挂号费。
媒体报导
北京卫视养生堂
